
تاثیر سیگار بر ایمپلنت دندان
یکی از مهمترین پیشرفتهای دندانپزشکی مدرن ، توانایی جایگزین کردن دندانهای از دست رفته با استفاده از ایمپلنت های تیتانیوم است که مستقیماً در فک قرار می گیرند. ایمپلنت می تواند جایگزین

یکی از مهمترین پیشرفتهای دندانپزشکی مدرن ، توانایی جایگزین کردن دندانهای از دست رفته با استفاده از ایمپلنت های تیتانیوم است که مستقیماً در فک قرار می گیرند. ایمپلنت می تواند جایگزین

برداشتن و کشیدن به موقع دندان عقل یک روش کاملاً طبیعی است. اگر دندانپزشک به شما بگوید که نیاز به برداشتن دندان های عقل دارید ، اصلا جای نگرانی ندارد و برداشتن دندان های عقل

هر بار که به دندانپزشک مراجعه می کنید ، احتمالاً به شما یادآوری می شود که به طور منظم مسواک بزنید و نخ دندان بکشید. اگرچه بیشتر افراد مسواک زدن را بخشی غیر قابل بحث در برنامه روزمره

علت انجام عصب کشی دندان و چه زمانی به درمان ریشه ( عصب کشی ) نیاز داریم؟ درمان ریشه دندان هنگامی ضروری است که دندان با کمک آنتی بیوتیک ها و داروی مسکن درد خود را تسکین

آندربایت چیست و چگونه درمان می شود؟ آندربایت اصطلاحی است برای یک بیماری دندانی که دندان های قسمت جلو و ردیف پایین نسبت به دندانهای جلویی در ردیف بالا

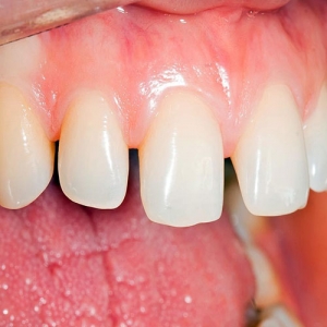
دیاستما یا فاصله بین دندانی چیست؟ Diastema به شکاف یا فاصله بین دندان ها گفته می شود. این فضاها می توانند در هر جایی از دهان تشکیل شوند ، اما گاهی اوقات بین دو دندان فوقانی جلویی

بریس های سرامیکی شبیه بریس های فلزی هستند ، اما در آنها از براکت های شفاف یا به رنگ دندان استفاده می شود و از براکت ها و سیم های نقره ای یا متالیک استفاده

بعد از انجام ارتودنسی و وصل کردن بریس به دندانهایتان ، باید از بریس هایتان مراقبت کنید تا به آنها آسیبی نرسد و از بعضی مواد غذایی اجتناب کنید ، اما چگونه از

آبسه چیست و آبسه دندان چگونه به وجود می آید؟ آبسه دندان زمانی اتفاق می افتد که عفونت باکتریایی دندان جمع شود. آبسه دندان مکانیسم دفاعی طبیعی در

فرسایش دندان و از دست رفتن سطح دندان های شما به دلیل اسیدهایی است که می خورید یا می نوشید ، یا اسیدهایی که از معده شما بیرون