مینای دندان و عارضه هیپوپلازی مینا
مینای دندان لایه بیرونی سخت و محافظ دندان های شما است. مینای دندان و عارضه هیپوپلازی نقص مینای دندان است که فقط در حالی که دندان ها در حال رشد هستند رخ می دهد. این عارضه هم می تواند روی دندان های شیری و هم دندان های دائمی تأثیر بگذارد. در نتیجه این بیماری مینای دندان نازک است که باعث می شود دندان های شما در برابر پوسیدگی بسیار آسیب پذیر شوند.
مینای دندان سخت ترین ماده در بدن هر شخص است، اما حاوی سلول های زنده نیست و نمی تواند خود را ترمیم و یا بهبود بخشد. بنابراین ، اگر شما یا فرزندتان به هیپوپلازی مینای دندان مبتلا هستید، باید حتما به دندانپزشک مراجعه کنید و سریعا به نقاط آسیب دیده رسیدگی کنید، چون اگر به این عارضه رسیدگی نشود پیشروی می کند.
علائم و عارضه هیپوپلازی چیست؟
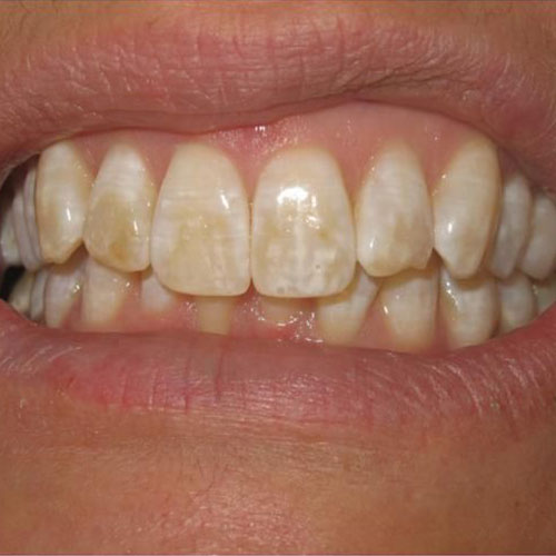
مینای دندان و عارضه هیپوپلازی مینای دندان یک بیماری کاملا واضح می باشد، اما تشخیص برخی از انواع آن دشوار است و ممکن است قابل مشاهده نباشد تا زمانی که باعث مشکلات عمده دندانی شود. علائم بصری هیپوپلازی مینا شامل لکه های سفید روی دندان، سوراخ و سطح ناهموار و وجود شیارهای سطح خارجی روی دندان ها است.
داشتن مینای دندان نازک می تواند منجر به موارد زیر شود:
- سوراخ های کوچک و سطح ناهموار، فرورفتگی ها و شکاف ها
- وجود لکه های سفید
- وجود لکه های قهوه ای مایل به زرد (جایی که لایه زیرین عاج در معرض آن قرار دارد)
- حساسیت به نوشیدنی و یا غذاهای گرم و سرم
- حساسیت به اسیدهای موجود در غذاها و نوشیدنی ها
- افزایش آسیب پذیری در برابر پوسیدگی دندان و حفره ها
علت به وجود آمدن عارضه هیپوپلازی چیست؟
این عارضه می تواند نتیجه یک بیماری ارثی به نام آملوژنز ایمپرفکتا یا هیپوپلازی مادرزادی مینا باشد، که تخمین زده می شود حدود 1 از 14000 نفر تحت تأثیر آن قرار می گیرند. این وضعیت همچنین می تواند باعث ایجاد دندان های غیرمعمولی و انواع مشکلات دندانی شود. هیپوپلازی مادرزادی مینا می تواند به تنهایی یا به عنوان بخشی از سندرم دیگری که بدن را تحت تأثیر قرار می دهد اتفاق بیفتد.
سندرم های ارثی دیگر که می توانند باعث هیپوپلازی مینا شوند:
- سندرم آشر
- سندرم سكل
- سندرم الیس ون کرولد
- سندرم تریاکر کالینز
- سندرم اتودنتال
- سندرم حذف 22q11 (سندرم ولوکاردیوفاشیال)
- سندرم هایملر
هیپوپلازی مینا همچنین می تواند در نتیجه مسائل قبل از تولد ایجاد شود مانند:
- کمبود ویتامین D مادر
- افزایش وزن مادر
- سیگار کشیدن مادر
- مصرف مواد مخدر مادر
- عدم مراقبت های دوران بارداری
- تولد زودرس یا وزن کم هنگام تولد
عوامل محیطی و سایر مشکلات در دوران نوزادی که می توانند باعث هیپوپلازی مینا شوند عبارتند از:
- ضربه به دندان ها
- عفونت
- کمبود کلسیم
- کمبود ویتامین های A ،C یا D
- زردی، بیماری کبدی
- بیماری سلیاک
- فلج مغزی به دلیل عفونت مادر یا جنین
عارضه هیپوپلازی چگونه درمان می شود؟
غربالگری و تشخیص زودهنگام بسیار مهم است. به همین دلیل است که کودکان باید مدتی بین رویش اولین دندان خود به دندانپزشک مراجعه کنند.
درمان بستگی به شدت مشکل دارد. اهداف درمان عبارتند از:
- جلوگیری از پوسیدگی دندان
- ساختار دندان و نیش ها به خوبی حفظ شوند.
- دندان ها را به بهترین شکل رشد کنند.
برخی از نقص های کوچکتر که باعث پوسیدگی یا حساسیت نمی شوند، ممکن است بلافاصله نیاز به درمان نداشته باشند. اگرچه نیاز به نظارت یک دندانپزشک دارند. دندانپزشک احتمالاً برای محافظت از دندان ها فلوراید موضعی را برای استفاده پیشنهاد کند.
در صورت حساسیت، به وجود آمدن حفره یا به هم ریختگی ساختار دندان که باعث ساییدگی می شود ، گزینه های درمانی عبارتند از:
- استفاده از کامپوزیت و یا لمینت ( این روش می تواند حساسیت دندان را بهبود بخشد و متناسب با رنگ دندان ساخته شود، که برای استفاده در دندان های ردیف جلو و یا عقب ایده آل می باشد و همچنین بسیار با دوام هستند )
- پر کننده های آمالگام دندان ( اینها از ترکیب فلزات بادوام ساخته شده اند. به دلیل رنگ نقره ای، ممکن است از آن روی دندان های ردیف جلو استفاده نکنند.
- پر کننده های طلا ( مانند پر کننده های آمالگام دندانی هستند، اما پر کننده های طلا با دوام تر هستند و از ظاهر طبیعی برخوردار نیستند. آنها همچنین گرانترین نوع پرکننده ها می باشند )
- تاج دندان ( دندان را کاملاً می پوشاند )
- میکرو سایش مینا ( این یک روش کم تهاجمی برای بهبود ظاهر دندان ها است )
اگر دندانپزشک آمالگام را پیشنهاد می کند ، ابتدا بررسی کنید که برای شما مناسب است یا خیر، زیرا ممکن است برای بعضی ها خطر سمیت وجود داشته باشد. همچنین برای:
- زنان باردار و یا کسانی که قصد باردار شدن دارند.
- کودکانی کمتر از 6 سال سن دارند.
- وجود یک بیماری عصبی یا مشکلات کلیوی در شخص
- کسانی که به جیوه حساسیت دارند.
مواردی وجود دارد که دندان دائمی آنقدر بد شکل است که ممکن است بهترین کار برای آن کشیدن باشد. در این صورت ، ممکن است ابتدا بخواهید با یک متخصص ارتودنسی مشورت کنید.
در اینجا چند نکته برای سالم نگه داشتن دندان ها آورده شده است، که شامل:
- استفاده از مسواک حداقل دو بار در روز
- اگر دندان ها به سرما حساسیت دارند ، با آب ولرم بشویید.
- غذاها و نوشیدنی های شیرین و اسیدی را به حداقل برسانید و همیشه بعد از مصرف آنها را کاملا مسواک زده و بشویید.
- برای معاینه به طور مرتب به دندانپزشک مراجعه کنید.
عوارض احتمالی عارضه هیپوپلازی چیست؟
اگر درمان صورت نگیرد و یا درمان مناسبی انجام نشود، عوارض می تواند شامل موارد زیر باشد:
- به وجود آمدن حفره در دندان خراب (به وجود آمدن پوسیدگی)
- تغییر رنگ دادن کل دندان
- نیاز به کشیدن دندان
مواردی که می تواند به این عوارض کمک کند شامل رعایت درست بهداشت دهان و دندان، به حداقل رساندن مصرف قند و شیرینی جات.
نتیجه گیری
داشتن مینای دندان نازک به این معنی است که همیشه باید سلامت دندان ها را به دقت کنترل کرد. درمان زود هنگام مشکلات می تواند از بروز مسائل جدی تر مانند از دست دادن دندان جلوگیری کند. هیپوپلازی مینا را می توان با معاینات منظم دندانپزشکی و رعایت بهداشت دهان و دندان کنترل کرد.
می توانید با ما تماس بگیرید تا درباره دندان های خود مشاوره دریافت کنید ، امیدواریم که این مطلب ( مینای دندان و عارضه هیپوپلازی ) مورد رضایت شما عزیزان واقع شده باشد. برای دیدن مطالب بیشتر به سایت کلینیک حکیم مراجعه کنید.
