
پروتز دندان متحرک
یکی از راه حل های دندانپزشکی پروتز دندان متحرک می باشد که با هدف جایگزین کردن دندان های از دست رفته و به منظور جلوگیری از عواقب منفی از دست دادن دندان مورد استفاده قرار می گیرند.

یکی از راه حل های دندانپزشکی پروتز دندان متحرک می باشد که با هدف جایگزین کردن دندان های از دست رفته و به منظور جلوگیری از عواقب منفی از دست دادن دندان مورد استفاده قرار می گیرند.

با ما باشد با مراقبت های قبل و بعد از ایمپلنت : به نظر می رسد ایمپلنت دندان یک راه حل مناسب برای بسیاری از افرادی است که با نداشتن دندان روبرو هستند. حتی اگر این یک گزینه عالی برای

در ارتودنسی معمولی ، براکت ها و سیم های فلزی در جلوی دندان قرار می گیرند که هنگام صحبت به راحتی دیده می شوند و ممکن است برای بسیاری از افراد ناخوشایند باشد ، اما روش های مختلفی

لمینت دندان بدون تراش یک نوع ونیر خیلی نازک هستند که ضخامت آن ها کمتر از سه دهم میلیمتر است تا بدون اینکه به مینای دندان آسیبی برساند آن ها را روی دندان ها قرار داد و نصب کرد.

لمینت دندان ( لمینت پرسلن که به ونیرهای پرسلین نیز معروف هستند ) پوسته ای نازک است که بر اساس نیاز فرد توسط موادی تقریباً هماهنگ با رنگ دندان طراحی می شوند. این پوسته ها به منظور

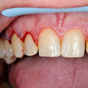
هنگامی که از مراجعه به دندانپزشکی خود به مدت طولانی صرف نظر می کنید ، بیماری لثه درمان نشده و می تواند لثه های آلوده و آسیب دیده ای را برای شما ایجاد کند که نیاز به جراحی لثه باشد.

عصب کشی دندان یا در اصطلاح دندانپزشکی روت کانال، از درمان های دندانپزشکی است که معمولا در دندان های پوسیده شده مورد استفاده قرار می گیرد. دندان ها دارای دو قسمت تاج و ریشه هستند.

از روش های کم آسیب برای سفید کردن دندان ها ، بلیچینگ دندان است. این روش از درمان های دندانپزشکی است که به منظور از بین بردن انواع لکه ها و پلاک ها که در مرور زمان و یا به صورت ژنتیکی

یکی از روش های ترمیمی زیبایی دندانپزشکی کامپوزیت ونیر است که به منظور اصلاح طرح لبخند با مواد همرنگ دندان به صورت محافظه کارانه مورد استفاده قرار می گیرد و مانند خمیری نازک است

استفاده از انواع روکش دندان ، یکی از بهترین روش ها به منظور داشتن لبخندی زیبا به شمار می رود. این روش، برای افرادی که دندان هایشان لک دارد، خرد شده است و یا بین دندان هایشان فاصله وجود دارد.