دانستنی های دندانپزشکی

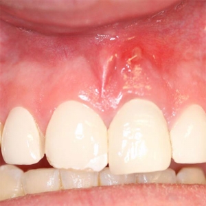
آبسه دندان چگونه به وجود می آید؟
آبسه چیست و آبسه دندان چگونه به وجود می آید؟ آبسه دندان زمانی اتفاق می افتد که عفونت باکتریایی دندان جمع شود. آبسه دندان مکانیسم دفاعی طبیعی در

ایمپلنت ساب پریوستئال
آیا در مورد ایمپلنت ساب پریوستئال چیزی شنیده اید؟ ایمپلنت های زیر سطحی می توانند عملکرد استخوان فک را جایگزین برخی از اقدامات دندانپزشکی کنند. آنها اغلب برای کسانی که

اپن بایت چیست و چگونه درمان می شود؟
انواع ، علل و گزینه های درمان اپن بایت چیست و چگونه درمان می شود؟ اپن بایت یک نوع نادرست سو انسداد (عدم انطباق) است ، این شکل از عدم

ویزیت اولیه کودک به دندانپزشک چه زمانی است
اگر می خواهید بدانید که ویزیت اولیه کودک به دندانپزشک چه زمانی است در ادامه با ما همراه باشید ، ویزیت اولیه دندانپزشک به طور كلی در سن 1 سالگی یا در طی 6 ماه پس از رشد

روکش پرسلن
روکش پرسلن، یک پوسته بسیار نازک از پرسلن یا کامپوزیت به رنگ دندان است که روی سطوح دندان های شما قرار گرفته و مشکلات دندان از جمله مینای دندان های فرسوده، تراز یا فاصله ناهموار

کاربرد لیزر دندانپزشکی چیست؟
استفاده از لیزر برای درمان بسیاری از بیماری های مختلف دندان کاملا مناسب است. در سال 1989 به صورت تجاری در عمل دندانپزشکی بالینی و از سال 1994 برای درمان تعدادی از مشکلات دندان مورد استفاده

علت انجام عصب کشی دندان
علت انجام عصب کشی دندان و چه زمانی به درمان ریشه ( عصب کشی ) نیاز داریم؟ درمان ریشه دندان هنگامی ضروری است که دندان با کمک آنتی بیوتیک ها و داروی مسکن درد خود را تسکین

درمان کانال ریشه یا اندودنتیک
درمان کانال ریشه یا اندودنتیک یک روش دندانپزشکی است که برای درمان عفونت در قسمت مرکز دندان استفاده می شود.درمان کانال ریشه دردناک نیست و می تواند دندان را از خرابی نجات دهد

دیاستما یا فاصله بین دندانی
دیاستما یا فاصله بین دندانی چیست؟ Diastema به شکاف یا فاصله بین دندان ها گفته می شود. این فضاها می توانند در هر جایی از دهان تشکیل شوند ، اما گاهی اوقات بین دو دندان فوقانی جلویی

دندانپزشکی طرف قرارداد بیمه سامان در فردیس: انتخابی مطمئن در درمانگاه دندانپزشکی حکیم
دندانپزشکی طرف قرارداد بیمه سامان در فردیس: انتخابی مطمئن در درمانگاه دندانپزشکی حکیم اگر به دنبال یک دندانپزشکی طرف قرارداد بیمه سامان در فردیس هستید، درمانگاه دندانپزشکی حکیم بهترین گزینه برای شماست. با ارائه خدمات تخصصی دندانپزشکی و همکاری با بیمه سامان، ما در تلاش هستیم تا درمانی باکیفیت و

روکش دندان
استفاده از انواع روکش دندان ، یکی از بهترین روش ها به منظور داشتن لبخندی زیبا به شمار می رود. این روش، برای افرادی که دندان هایشان لک دارد، خرد شده است و یا بین دندان هایشان فاصله وجود دارد.

درمان ریشه دندان
درمان ریشه دندان یا همان “کانال ریشه” یک درمان نیست ، بلکه بخشی از دندان است. این قسمت توخالی دندان است که شامل بافت عصبی ، رگهای خونی و سلولهای دیگر است که به آن پالپ نیز می گویند


