دانستنی های دندانپزشکی

ژل بی حسی لثه دندانپزشکی
دندانپزشکان اغلب برای انجام کارهای دندانپزشکی بعد از معاینه بیمار از بی حسی در محل مورد نظر و لثه استفاده می کنند، که بیمار درد نکشد و کار خود را درست انجام دهند. یکی از روش های

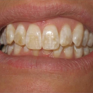
مینای دندان و عارضه هیپوپلازی
مینای دندان لایه بیرونی سخت و محافظ دندان های شما است. مینای دندان و عارضه هیپوپلازی نقص مینای دندان است که فقط در حالی که دندان ها در حال رشد هستند رخ می دهد. این عارضه هم می تواند

آبسه دندان چگونه به وجود می آید؟
آبسه چیست و آبسه دندان چگونه به وجود می آید؟ آبسه دندان زمانی اتفاق می افتد که عفونت باکتریایی دندان جمع شود. آبسه دندان مکانیسم دفاعی طبیعی در

دندانپزشکی در خواب یا سدیشن
دندانپزشکی در خواب یا سدیشن به معنی داروی مسکن است، این روش برای بسیاری از مردم که از عمل دندانپزشکی می ترسند کاملا مناسب است. چون دیگر نگران دردی که ممکن است

براکسیسم (دندان قروچه) چیست؟
بیشتر افراد احتمالاً هر از گاهی دندان های خود را خواسته یا ناخواسته روی هم می سابند، که از نظر پزشکی دندان قروچه نامیده می شود. اگر بعضی اوقات این کار انجام شود

ارتودنسی در بارداری
آیا کسانی که دندان های شلوغ و روی هم رفته ای دارند به ارتودنسی در بارداری فکر کرده اند؟ اگر تا به حال به این موضوع فکر کرده اید ، باید بگوییم که درمان در بارداری هیچ مشکلی ندارد و ممکن است یکی از

ترمیم یا فیلینگ دندان
پر کردن دندان نوعی درمان ترمیمی دندانپزشکی است که برای ترمیم حداقل شکستگی دندان، پوسیدگی دندان یا سطوح آسیب دیده دندان استفاده می شود. مواد پرکننده شامل کامپوزیت، پرسلن و

دیپ بایت چیست و چگونه درمان می شود؟
به طور معمول ، دندان های جلویی فک بالا باید حدود 2 تا 3 میلی متر از دندان های فک پایین را بپوشاند ، اما دیپ بایت چیست و چگونه درمان می شود؟ Deep bite به پوشش

درمان کانال ریشه یا اندودنتیک
درمان کانال ریشه یا اندودنتیک یک روش دندانپزشکی است که برای درمان عفونت در قسمت مرکز دندان استفاده می شود.درمان کانال ریشه دردناک نیست و می تواند دندان را از خرابی نجات دهد

فواید استفاده از نخ دندان
هر بار که به دندانپزشک مراجعه می کنید ، احتمالاً به شما یادآوری می شود که به طور منظم مسواک بزنید و نخ دندان بکشید. اگرچه بیشتر افراد مسواک زدن را بخشی غیر قابل بحث در برنامه روزمره

بیماری های دهان و دندان
بیماری های دهان و دندان از شایع ترین بیماری های عفونی انسان ها به شمار می روند که اهمیت بسیاری دارند و معمولا روی سلامت کل بدن تاثیرگزارند. پوسیدگی دندان و بیماری های لثه از مهم ترین

چگونه مینای دندان را تقویت کنیم
برای جواب این سوال که چگونه مینای دندان را تقویت کنیم در ادامه با ما همراه باشید تا نکات مهم را به شما ارئه کنیم. طبق اطلاعات انجمن دندانپزشکی مینای دندان سخت ترین ماده
